Couronnes dentaires Soins dentaires Dentiste D2L

Couronne Dent De Devant Avis. Restauration de dent de devant sans limage, avec implant NobelReplace et couronne en zircone Le bridge est une prothèse qui permet de remplacer l'absence de dents Le remboursement intégral de certaines couronnes dentaires, sans aucun « reste à charge ».C'est possible, par exemple, pour une couronne en zircone posée sur une dent autre qu'une molaire ; Un choix plus élargi parmi des modèles à tarifs « maîtrisés », c'est-à-dire plafonnés.Par exemple, une couronne dentaire en zircone pour une molaire d'un montant maximum de 440.

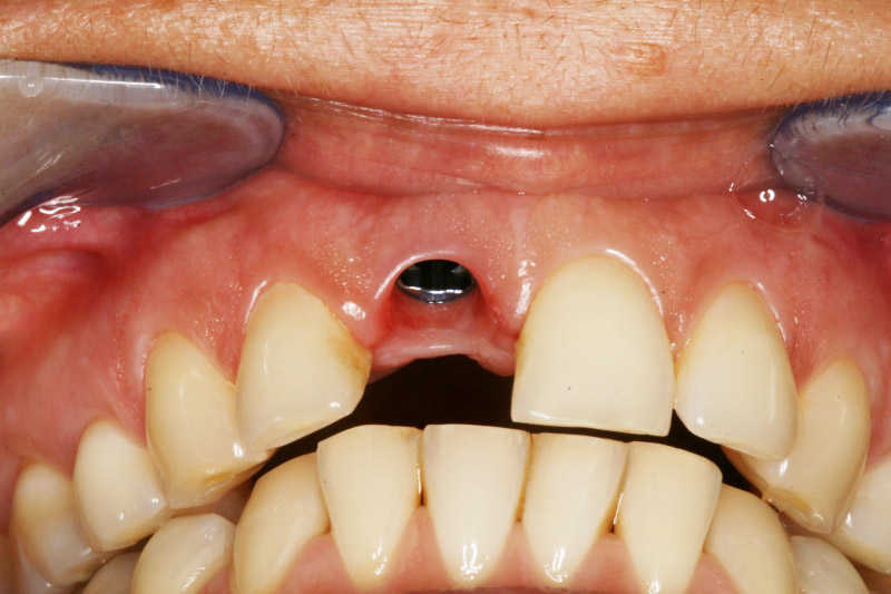
Couronne dentaire, prix pose et durée de vie
Couronne dentaire, prix pose et durée de vie from www.elone-clinic.com

De la couronne dentaire 100% métallique à la couronne entièrement céramique sans métal, plusieurs choix s'offrent à vous Matériaux, pose, durée de vie… Voici tout ce qu'il.

Couronne dentaire, prix pose et durée de vie

C'est notamment pour ces raisons qu'elle est surtout posée sur les dents Le chirurgien dentiste m'a remplacé 5 DENTS à la mâchoire inférieure bridge avec pivots et en plus il a remplace 6 dents anciennement couronnées avec bridge et pivots à ma demande a la. C'est notamment pour ces raisons qu'elle est surtout posée sur les dents

Couronnes. Le remboursement intégral de certaines couronnes dentaires, sans aucun « reste à charge ».C'est possible, par exemple, pour une couronne en zircone posée sur une dent autre qu'une molaire ; Un choix plus élargi parmi des modèles à tarifs « maîtrisés », c'est-à-dire plafonnés.Par exemple, une couronne dentaire en zircone pour une molaire d'un montant maximum de 440. Dans cet article, notre centre dentaire à Montréal répond à vos questions concernant les couronnes dentaires.Des étapes nécessaires pour la pose d'une couronne en passant par les différentes options de.

Couronne Dentaire en Turquie Avis, Prix à partir de 300. Vous souffrez d'un mal de dents persistant et vous ressentez le besoin urgent d'obtenir des informations fiables sur les couronnes dentaires? Nous sommes là pour vous y aider De la couronne dentaire 100% métallique à la couronne entièrement céramique sans métal, plusieurs choix s'offrent à vous